Юрген Фрайтаг представляет клинический пример применения красителей Vita Akzent LC для композитов
Юрген Фрайтаг,
мастер зуботехнической технологии.
Хорошие вещи требуют много времени. Это особенно относится к имплантологии, где, в первую очередь, проводится хирургическая реконструкция и формирование контуров десен.
Временные реставрации длительной клинической службы являются важным инструментом постепенных изменений архитектуры десен, так как форма временной реставрации определяет последующее изготовление промежуточных единиц зубного протеза на имплантатах.
Так как достижение розовой эстетики требует некоторого времени, важно рассмотреть морфологию эстетической зоны одновременно с основным цветовым тоном и индивидуальными эффектами окраски естественных зубов пациента. Только это позволит пациенту с эстетически видимой зоной чувствовать себя комфортно на протяжении длительного периода лечения. Независимо от этих соображений, изготовление временной реставрации длительной клинической службы должно быть эффективным и экономически выгодным для пациента. И следует помнить, что временная реставрация — это только временное решение. Представленный ниже клинический пример показывает, как новая система стоматологических красителей Vita Akzent LC (Vita Zahnfabrik, Бал-Зекинген, Германия) позволяет с минимальной затратой усилий создавать индивидуальную эстетику за счёт 3D эффекта на одноцветной реставрации длительного клинического использования, изготовленной по технологии CAD/CAM из композитного материала Vita CAD-Temp (Vita Zahnfabrik, Бал-Зекинген, Германия).

Рис. 1. Белые абатменты из ПЭЭК ввинчены в мастер-модель.
Рис. 2. Мастер-модель непосредственно перед сканированием в лабораторном сканере.
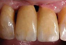
Рис. 3. Установленная временная реставрация длительной клинической службы, изготовленная из одноцветного композитного материала Vita CAD-Temp Monocolor.

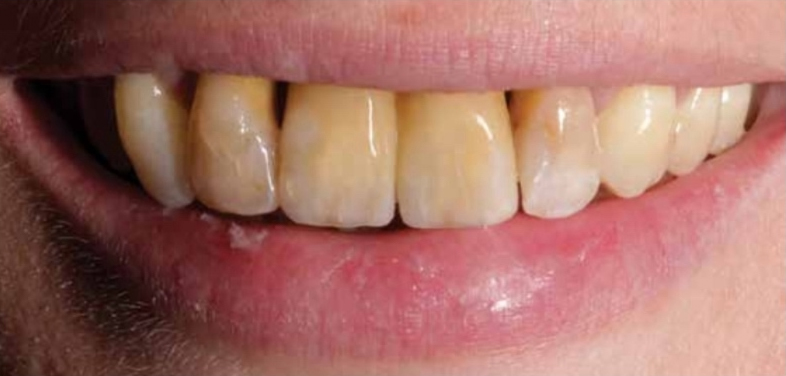
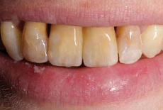
Рис. 4. Временная реставрация длительной клинической службы после воспроизведения характерных особенностей окраски композитными красителями Vita Akzent LC.

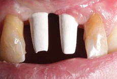
Рис. 5. Ввинчиваемые абатменты, изготовленные из ПЭЭК, во рту пациентки

Рис. 6. В коронах успешно воспроизведены оптические свойства (игра света и тени), наблюдаемые у соседних зубов.
Проблемы имплантологии
Молодая пациентка обратилась в нашу практику по поводу обширного повреждения кости пародонта в передней области верхней челюсти. После проведения пародонтального лечения стало очевидным, что её два верхних центральных резца сохранить невозможно.
После удаления зубов и заживления ткани, в области зубов UR1 и UL1 была проведена аугментация кости и внедрены два имплантата. Однако кость все ещё не оставалась стабильной, даже после проведения двух дополнительных аугментаций. Было принято решение компенсировать эстетический дефицит проведением пластики десны после постановки временных реставраций длительной клинической службы. Перед проведением зуботехнической работы был снят диагностический оттиск клинической ситуации и оценён цвет зубов по классической шкале расцветок Vita classical A1-D4 (Vita Zahnfabrik, Бал-Зекинген, Германия).
Временные реставрации длительной клинической службы на имплантатах
В отлитую и артикулируемую мастер-модель с аналогами имплантатов и десневой маской были ввинчены соответствующие титановые основания, на которых аналоговым методом сформировали восковые модели абатментов для нашей пациентки. Винтовой канал был определен моделировочной деталью в форме трубки.
Абатменты решили изготовить из стерилизуемого полиэфироэфиркетона (ПЭЭК), поскольку этот материал химически инертен и совместим с тканями живого организма. По модулю упругости ПЭЭК и костные ткани сопоставимы, что создаст буфферный эффект для имплантата, жестко зафиксированного в кости. Белый цвет абатментов не окажет отрицательного влияния на эстетику реставрации. После изготовления абатментов будет проведена штифтовка восковых моделей на титановых основаниях, паковка, прокалка и свободная от зазора напрессовка ПЭЭК (Biohpp, Bredent, Зенден, Германия) на титановые основания. Готовые и отполированные абатменты из полиэфироэфиркетона были ввинчены в мастер-модель, затем ситуацию считали сканером 3Shape D710 (3Shape, Копенгаген, Денмарк).
Затем абатменты в области зубов 11 и 21 были шинированы временным протезом из полимерного композита Vita CAD-Temp 3M2 Monocolor. Виртуальная модель временного протеза была создана в программе CAD, а сам протез (две объединённые коронки) изготовили по технологии CAD/CAM на станке Zenotec mini (Wieland Dental, Пфорцхайм, Германия).
Две временных реставрации длительного использования – произведения искусства
После шлифовки и полировки временных композитных коронок длительного использования, их можно подкрасить непосредственно на приёме пациентки так, чтобы воспроизвести все цветовые эффекты оставшихся естественных зубов. Промежуточные этапы отверждения выполняли с помощью лампы световой полимеризации.
В области режущего края имитировали прозрачность, на проксимальные поверхности нанесли голубую и серую краску из набора Vita Akzent LC Effect с небольшой добавкой фиолетовой. Для имитации трещинок эмали сформировали крошечные углубления, которые просто заполнили оранжевым или белым красителем. Это сделать очень просто с помощью не густых красителей для полимерных композитов. Для имитации пятен флюороза использовали белый краситель. Оранжевый и бежевый цвета придавали дентину легкий живой блеск. По окружности пришеечной области нанесли тонкий слой светло-коричневого красителя. Окончательное отверждение подкрашенных коронок проводили в аппарате фотополимеризации, в течение 90 сек. Для достижения окончательного однородного блеска на всю поверхность реставраций была нанесена глазурь Vita Akzent LC Glaze, затем конструкцию поместили в аппарат фотополимеризации ещё на 90 сек.

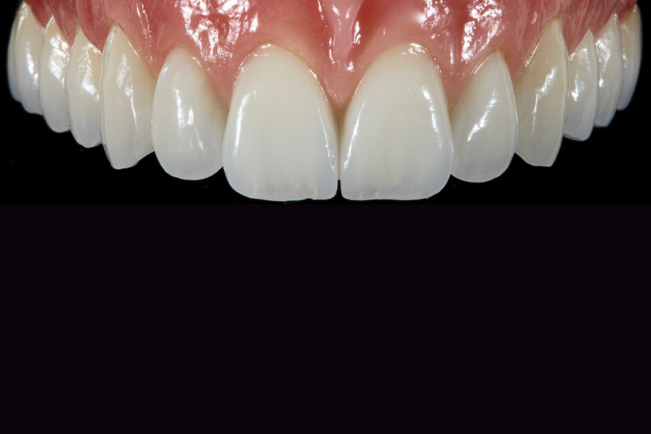
Рис. 7. Врач и пациентка были в полном восторге от вида временной реставрации длительной клинической службы.
Заключение: Универсальность новых цветов
Консистенция красителей для полимерных композитов Vita Akzent LC позволяет применять их целенаправленно и избирательно. После окончательного отверждения на поверхности реставрации смазанный слой обнаружен не был.
В целом, при использовании красителей следует быть внимательным, так как они обладают очень интенсивной окраской. И, напротив, красители достаточно устойчивы, поэтому нужный эффект достигается всего несколькими мазками. Красители Vita Akzent LC подходят для любых полимеров, композитов и гибридных материалов. В случае полных протезов на базисной части реставрации можно воспроизвести анатомию десен. На монолитных реставрациях, изготовленных из полимерного композита или гибридной керамики, красители позволяют эффективно воспроизвести индивидуальные особенности окраски для каждого пациента.
В частности, для телескопических коронок эти красители являются материалом предпочтительного выбора, так как обладают интенсивным цветом. Так как в телескопических конструкциях используются первичные и вторичные коронки, во рту остаётся мало места для облицовки. В таком случае цвета Vita Akzent LC можно использовать в качестве внутренних красителей, а затем покрывать их тонким слоем эмали для защиты от естественного стирания в процессе длительного времени клинической службы временной реставрации. Это позволит воспроизвести индивидуальные цветовые эффекты, а также создать иллюзию естественной прозрачности на дентиновом каркасе реставрации, без затраты имеющегося пространства. Благодаря использованию красителей, максимальный эффект может быть достигнут при тонкослойном покрытии. Красители Vita Akzent LC Chroma позволяют отрегулировать цвет реставрации до полного совпадения с цветом окружающих естественных зубов в группе цветов A1 — D4 по шкале расцветок Vita classical, а также по шкале Vita 3D-Master.
Абсолютно естественный результат
В нашем случае лечащий врач-имплантолог был в полном восторге от достигнутого конечного результата, который, как он заметил, вполне мог бы конкурировать с постоянным протезом с точки зрения эстетики.
Пациентке также очень понравилось, как реставрация сочетается с окружающими зубами, так как впервые почувствовала, что длительный процесс лечения завершен и реабилитация оказалась успешной. Благодаря эффективному использованию композитных красителей Vita Akzent LC, длительный по времени переходной этап реабилитации завершится без дефицита эстетики в видимой области зубного ряда.
