Небная дистопия верхнего клыка: ранняя диагностика и превентивная коррекция
Аннотация
Постоянный верхний клык имеет длительный путь прорезывания и может смещаться, что приводит к его дистопии в небную сторону и нарушению прорезывания. Мы освещаем современные диагностические стратегии для контроля прорезывания этого зуба и обсуждаем потенциальные превентивные меры для стимуляции прорезывания при наличии дистопии. Мы также исследуем существующую доказательную базу с помощью мета-анализа и на основе этих данных предоставляем руководство для врача-стоматолога общей практики. В частности, удаление молочного клыка для нормализации положения небно дистопированного постоянного верхнего клыка является методом с непредсказуемым результатом, но благоприятный исход может быть достигнут, если лечение начато в возрасте от 10 до 13 лет, у пациента наблюдается сменный прикус, в зубной дуге имеется место для постоянного клыка, и, согласно рентгенологическим данным, коронка клыка не выходит за среднюю линию бокового резца. Важно, чтобы врач-стоматолог общей практики мог диагностировать нормальное и нарушенное прорезывание постоянного клыка у детей в возрасте 10–13 лет и своевременно и надлежащим образом направлять такие случаи с признаками дистопии.
Ключевые моменты
- Подчеркивает клиническую проблему небной дистопии верхних клыков.
- Обсуждает методы надлежащей диагностики для врача-стоматолога общей практики.
- Анализирует современные данные, касающиеся превентивного ведения данной патологии, с акцентом на удаление молочного клыка.
- Проводит мета-анализ данных в доступной и понятной форме.
Введение
Постоянный верхний клык является важным зубом в зубном ряду, обеспечивая стабильную функциональную окклюзию и играя значительную роль в эстетике улыбки. Этот зуб развивается высоко в теле верхней челюсти, имеет длительный и протяженный путь прорезывания и может смещаться в щечную или небную сторону с различной степенью горизонтального смещения. Небно дистопированный верхний клык (НДВК) часто не прорезывается и требует мультидисциплинарного подхода, включающего хирургическое вмешательство и ортодонтическое лечение. Это лечение может быть длительным и сопряжено с осложнениями, включая локальное отсутствие прорезывания клыка и резорбцию корней соседних зубов. В целом, лечение НДВК может представлять значительную нагрузку для пациента, особенно когда диагноз ставится поздно, а лечение затягивается до позднего подросткового возраста. Именно по этим причинам важна ранняя идентификация НДВК, что позволяет iniciровать возможные превентивные процедуры, а также гарантировать, что в случае необходимости окончательное лечение может быть проведено своевременно. Врач-стоматолог общей практики (ВСОП) — это именно тот специалист, который с наибольшей вероятностью первым столкнется с пациентом с НДВК, и здесь мы подчеркиваем важность ранней диагностики, своевременного направления к специалисту и современную доказательную базу, относящуюся к простым методам превентивного лечения.
Оценка состояния постоянного верхнего клыка в формирующемся зубном ряду
В рамках рутинного клинического обследования и наблюдения за формирующимся зубным рядом у детей и подростков ВСОП должен уделять внимание постоянному верхнему клыку, в частности, его правильному развитию и прорезыванию (Таблица 1). У детей в возрасте до десяти лет верхний клык не всегда можно пропальпировать в преддверии полости рта, и в это время обычно не требуется планового рентгенологического обследования. Однако любой семейный анамнез НДВК, адентии или наличие недоразвитых/шиловидных верхних боковых резцов должны повышать осведомленность о возможности возникновения НДВК. Когда ребенок достигает десятилетнего возраста, у большинства детей верхние клыки должны прощупываться в преддверии полости рта, и клиническое обследование должно быть обязательной частью плановой стоматологической оценки, проводимой у этой возрастной группы ВСОП. Если на этом этапе клыки не прощупываются, или наблюдается асимметрия при пальпации или прорезывании этих зубов, рекомендуется рентгенологическое исследование.
Рентгенологическая оценка постоянного верхнего клыка в формирующемся зубном ряду
Для большинства врачей-стоматологов общей практики (ВСОП) такие методы, как прицельная рентгенография, окклюзионная рентгенография верхней челюсти или ортопантомограмма, являются легкодоступными в условиях клиники. Эти снимки могут предоставить essentialную информацию о развитии зубного ряда, в частности о постоянном верхнем клыке. Были предложены три критерия для оценки положения этого зуба на панорамном снимке (Рис. 1):
- Горизонтальное положение коронки клыка относительно вертикальной линии, проведенной между центральными резцами верхней челюсти (срединно-сагиттальная плоскость/срединная линия), основанное на пяти вертикальных секторах;
- Угол наклона длинной оси клыка относительно вертикальной линии, проведенной между центральными резцами верхней челюсти (срединно-сагиттальная плоскость);
- Высота расположения режущего бугра клыка относительно окклюзионной плоскости.
Более того, для точного определения губно-язычного положения верхнего клыка можно использовать два снимка, применяя технику параллакса (или метод «смещения трубки»). При горизонтальном параллаксе используется горизонтальное смещение рентгеновской трубки (достижимо при последовательной съемке прицельных снимков со смещением трубки по горизонтали), в то время как при вертикальном параллаксе используется вертикальное смещение трубки (достижимо при комбинации ортопантомограммы и либо прицельного, либо окклюзионного снимка верхней челюсти).
Конусно-лучевая компьютерная томография (КЛКТ) — это дополнительный метод визуализации, который все чаще используется для определения положения и анатомических взаимоотношений верхних клыков. Однако рутинное использование КЛКТ для диагностики непрорезавшихся верхних клыков не оправдано из-за значительного увеличения эффективной дозы облучения по сравнению с внутриростовой рентгенографией. КЛКТ следует назначать в тех случаях, когда традиционная рентгенография не предоставляет достаточной диагностической информации, и обычно это делает врач-ортодонт.
Конусно-лучевая компьютерная томография (КЛКТ) — это дополнительный метод визуализации, который все чаще используется для определения положения и анатомических взаимоотношений верхних клыков. Однако рутинное использование КЛКТ для диагностики непрорезавшихся верхних клыков не оправдано из-за значительного увеличения эффективной дозы облучения по сравнению с внутриростовой рентгенографией. КЛКТ следует назначать в тех случаях, когда традиционная рентгенография не предоставляет достаточной диагностической информации, и обычно это делает врач-ортодонт.
Избегайте выжидательной тактики
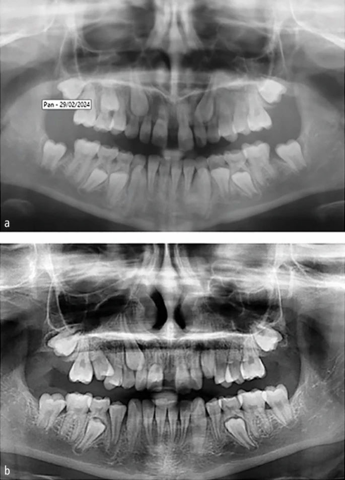
Врачу-стоматологу общей практики (ВСОП) важно не успокаиваться мыслью о том, что у подростков с устойчивыми молочными клыками верхней челюсти (Рис. 2) происходит нормальное (хотя и медленное) dentalное развитие. Это впечатление может усугубляться, когда молочные вторые моляры все еще присутствуют, а аномалия прикуса кажется незначительной. Стоматологическое развитие значительно варьируется в зависимости от хронологического возраста, и наличие молочных моляров не является причиной откладывать обследование по поводу непрощупываемого постоянного верхнего клыка у подростков.
Превентивное ведение небно дистопированного верхнего клыка
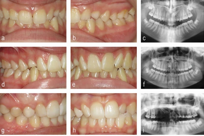
Раннее выявление аномального положения верхнего постоянного клыка и iniciрование превентивного лечения для стимуляции его самокоррекции может быть полезным по нескольким причинам. К ним относятся: избежание необходимости будущего хирургического обнажения и ортодонтического вытяжения, снижение риска резорбции корней соседних верхних резцов и избежание потенциально prolongedленного ортодонтического лечения. Однако доказательная база неоднозначна, не самого высокого качества и трудна для интерпретации. Превентивное лечение при НДВК в основном основано на принципе наличия места в этой области верхнечелюстной дуги, что может включать только удаление сохранившегося молочного клыка (Рис. 3) или удаление этого зуба в сочетании с ортодонтической механикой для расширения или удлинения зубной дуги.
Удалять молочный клык или нет? Что говорят доказательства?
Самый надежный на данный момент систематический обзор, оценивающий эффективность вмешательств для перехвата и предотвращения НДВК, оценил доказательства как очень неопределенные.¹² Недостаток высококачественных доказательств объясняется плохим проведением и отчетностью по испытаниям, вариациями в дизайне исследований (включая неоднородные критерии отбора), различиями в первичных исходах, включением как односторонних, так и двусторонних НДВК в смешанных дизайнах (параллельном и «split-mouth»), отсутствием контрольных групп, вариациями в определении «успешного прорезывания» и включением участников с разной степенью горизонтального смещения и наклона клыка.
Исторически обоснование превентивного удаления молочного клыка проистекает из результатов единственного ретроспективного когортного исследования из Швеции с участием 35 пациентов в возрасте от 10 до 13 лет. Авторы сообщили об успешном прорезывании 83% подозреваемых НДВК после удаления молочного клыка. Однако отсутствие нелеченной контрольной группы и отсутствие однородности выборки в отношении диагноза НДВК (особенно в отношении положения коронки клыка относительно средней линии) делают заявленные результаты подверженными предвзятости. Аналогичное ретроспективное исследование, проведенное в Великобритании несколькими годами позже с участием 39 пациентов в возрасте около 11 лет, сообщило об успешном прорезывании 62% НДВК после удаления молочного клыка. Важно, что недостаток места в дуге отрицательно сказывался на прорезывании; однако отсутствие нелеченной контрольной группы и неоднородный отбор образцов также означали высокий риск систематической ошибки.
Одним из самых ранних проспективных исследований было трехгрупповое испытание под руководством покойного Тициано Бакчетти, которое включало две группы вмешательства и одну нелеченную контрольную группу. Пациенты с НДВК были распределены в группы: только удаление молочного клыка, удаление молочного клыка в сочетании с внеротовой тягой с шейной тягой (headgear) для удлинения зубной дуги кзади, или отсутствие лечения. В этом исследовании успешное прорезывание НДВК в группе только с удалением и в нелеченной контрольной группе было практически одинаковым — около 50%, но выше в группе, где удаление сочеталось с headgear (80%). Однако распределение участников по трем группам было неравномерным, а степень горизонтального смещения у всех НДВК оценивалась как сектор 3 — потенциально наиболее благоприятное положение для прорезывания, при наличии адекватного места в дуге. Несмотря на то, что это исследование было опубликовано как самостоятельное рандомизированное испытание, оно, по-видимому, было повторено с расширенной выборкой, и впоследствии сообщило об успешном прорезывании НДВК в нелеченной контрольной группе, группе только с удалением и группе удаления с headgear в 36%, 66% и 88% случаев соответственно. Были отмечены concerns относительно методологии и отчетности этих исследований, и к результатам следует относиться с крайней осторожностью.
Исследование с участием пациентов с двусторонними НДВК в возрасте от 10 до 14 лет было проведено в Швеции под руководством Фархана Базаргани.¹⁷ В рамках методологии один НДВК у каждого участника был определен в группу вмешательства, а контралатеральный НДВК служил контролем в выборке из 24 участников. Авторы сообщили об успешном прорезывании 62% НДВК после удаления молочного клыка, в то время как показатель успеха на контрольной стороне составил 42%. Вмешательство было более успешным у младших участников (в возрасте от 10 до 11 лет) и, как и следовало ожидать, когда клык находился ближе к нормальному горизонтальному положению. Например, улучшение горизонтального положения клыка наблюдалось у 15/19 (79%) зубов, изначально находившихся в секторах 2 и 3. Напротив, только 1/5 (20%) зубов, изначально находившихся в секторах 4 или 5, улучшили свое положение. Чем ближе НДВК был к срединно-сагиттальной плоскости, тем менее вероятно было улучшение положения после удаления сохранившегося молочного клыка. Однако размер выборки был небольшим, дизайн исследования был типа «split-mouth», и снова отсутствовала эквивалентность до лечения с точки зрения смещения по секторам НДВК между квадрантами в группах вмешательства и контроля.
Самое надежное исследование, касающееся удаления молочного клыка как превентивной стратегии ведения НДВК, — это двухгрупповое рандомизированное клиническое испытание, проведенное Джулией Наоумовой и коллегами, также в Швеции. Дети в возрасте от 10 до 13 лет с односторонними или двусторонними НДВК были рандомизированы в группы удаления молочного клыка или нелеченного контроля. Интересно, что 69% НДВК успешно прорезались после удаления молочного клыка по сравнению с 39% в контрольной группе. Более того, почти в два раза больше НДВК потребовали последующего хирургического обнажения в контрольной группе по сравнению с группой удаления. Хотя эти результаты кажутся promising, необходимо учитывать несколько факторов в методологии исследования. Исследование сочеталo односторонние (рандомизированные индивидуально) и двусторонние (рандомизированные по методу «split-mouth») клыки, и период наблюдения за прорезыванием НДВК составлял два года; однако молочный клык удалялся через год в нелеченных контрольных группах, если не было признаков подвижности молочного клыка. Кроме того, хирургическое обнажение проводилось в любой группе через 12 месяцев, если не было рентгенологических признаков улучшения положения верхнего клыка. В последующем исследовании с использованием КЛКТ-визуализации из этой выборки сообщалось, что расстояние от режущего бугра клыка до срединно-сагиттальной плоскости является положительным прогностическим фактором, указывающим на то, прорежется ли НДВК спонтанно или нет. Если бугор клыка находился на расстоянии 11 мм от срединно-сагиттальной плоскости (средней линии), то существовала высокая вероятность спонтанного прорезывания. И наоборот, если бугор находился менее чем в 6 мм от срединно-сагиттальной плоскости, то потребовалось бы хирургическое обнажение, даже если молочный клык был удален.
Синтез доступных исследований
Здесь мы определили все доступные рандомизированные испытания в этой предметной области и синтезировали результаты с помощью мета-анализа. Мы определили существующие систематические обзоры, проверили их списки литературы и цитирования, полученные через Google Scholar, и вручную провели поиск в Medline (через PubMed) и Google Scholar на предмет соответствующих первичных исследований. Включены были рандомизированные испытания на пациентах-людях (как с параллельной рандомизацией, так и внутри индивидуальной), оценивающие эффект превентивного удаления молочных клыков на прорезывание дистопированных постоянных клыков. Вторично мы включили исследования схожего дизайна, в которых сравнивали дополнительное удаление первого молочного моляра с удалением только молочного клыка. Несмотря на то, что scope данной статьи сосредоточен на НДВК, мы были более lenient в нашем поиске и также включили исследования с вестибулярно или центрально смещенными клыками (и прозрачно это зафиксировали).
Поиск литературы дал в общей сложности пять исследований, сравнивающих превентивное удаление молочного клыка с контрольной группой без удаления. Четыре испытания были представлены отдельными публикациями, и одно испытание привело к нескольким публикациям (и докторской диссертации). Были выявлены три исследования, сравнивающие удаление как молочного клыка, так и первого моляра с удалением только молочного клыка, которые представлены в четырех публикациях.
Между включенными испытаниями наблюдались значительные различия в критериях приемлемости и характеристиках пациентов, в то время как в нескольких исследованиях было включено удаление более одного зуба на пациента, и внутри индивидуальная кластеризация не всегда адекватно учитывалась. Поэтому с соответствующими авторами всех включенных испытаний связались с запросом предоставить их исходные наборы данных, чтобы обеспечить лучшее представление данных испытаний (см. онлайн Таблицу 1 Дополнительной информации); единственными исключениями были два испытания Тициано Бакчетти, который, к сожалению, умер. В результате двое исследователей предоставили по крайней мере некоторые части своих наборов данных, и один великодушно предоставил скорректированные с учетом кластеризации оценки для основного исхода. Для учета кластеризации и оценки скорректированных отношений шансов (ОШ) с их 95% доверительными интервалами (ДИ) для прорезывания постоянного клыка использовались обобщенные линейные модели для биномиального семейства. Дополнительно были идентифицированы потенциальные confounding факторы прорезывания постоянного клыка с помощью метода изменения оценки (с установленным порогом в 10% изменения) и учтены. Более того, одно испытание²⁶ включало пациентов в возрасте 7.7-12.0 лет, у которых был риск импакции верхнего клыка, определяемый по углу клыка к средней линии ≥15°. Однако в настоящий анализ были включены только пациенты в возрасте десяти лет и старше, чтобы сделать набор данных более совместимым с данными из двух исследований, которые использовали тот же порог в десять лет.
Данные из схожих исследований, оценивающих схожие исходы, были объединены с помощью мета-анализа с использованием ОШ или разностей средних (РС) с их 95% ДИ в качестве мер эффекта. Поскольку ожидалось, что эффекты лечения будут варьироваться в зависимости от характеристик, связанных с пациентом, зубом и malocclusion (возраст, пол, размер зуба, положение зуба и пространство в зубной дуге), модель случайных эффектов была априори сочтена более подходящей для объединения данных и расчета среднего распределения эффектов лечения среди включенных исследований. Использовался оценщик дисперсии с ограниченным максимальным правдоподобием с поправкой Кнаппа-Хартунга на основе соответствующего руководства. Наблюдаемая гетерогенность/оцененная относительная неоднородность между исследованиями оценивалась с помощью метрики tau²/I² соответственно, в то время как неопределенность вокруг них также оценивалась для мета-анализов с ≥3 исследованиями. Существующая гетерогенность была включена в результаты мета-анализа с 95% predictions, которые предоставляют диапазон возможных исходов в будущем сценарии, снова для мета-анализов с ≥3 исследованиями. Мета-анализы были визуализированы с использованием контурно-усиленных лесных графиков для оценки величины эффекта, неточности и несоответствия.
Доказательства относительно удаления молочного клыка
Дескриптивы для пяти включенных испытаний представлены в Таблице 2. Два испытания произошли из одной исследовательской группы в Италии, два — из отдельных групп в Швеции, и одно из Бельгии. Все они имели параллельный дизайн, за исключением одного, которое рандомизировало стороны по методу «split-mouth». Помимо удаления молочного клыка, иногда применялись другие вмешательства (транспалатинальные дуги, внеротовые аппараты (headgear) или медленное расширение верхней челюсти), но эти вмешательства были проигнорированы в настоящем анализе, в основном из-за небольших размеров выборки и низкого качества текущей доказательной базы. Одно испытание из Италии и одно из Бельгии включали пациентов значительно моложе десяти лет, но набор данных из последнего был сокращен, чтобы включить только пациентов в возрасте десяти лет и старше. Все включенные исследования включали как односторонние, так и двусторонние случаи, за исключением исследования «split-mouth», которое включало только двусторонние случаи. Постоянные клыки почти всегда были смещены нёбно, за исключением одного исследования, которое также включало те, что находились в вестибулярном положении. Между испытаниями существовали некоторые различия в критериях, используемых для диагностики ретенции, и размеры включенных выборок варьировались от 24 до 67 пациентов на испытание (от 48 до 89 зубов на испытание). За всеми пациентами наблюдали в течение 18 месяцев после удаления или до прорезывания постоянного клыка.
Повторный анализ двух исследований был проведен с использованием предоставленных наборов данных (см. онлайн Таблицу 2a Дополнительной информации). Прорезывание постоянного клыка было достоверно менее вероятным, когда его угол наклона к срединной линии увеличивался (особенно когда он составлял ≥30°), когда он находился в секторе 3 (Рис. 1) или далее, и когда его корень был более развит (во всех случаях p < 0,05). Влияние этих факторов, по-видимому, было схожим как для односторонних, так и для двусторонних случаев. Когда учитывались потенциальные идентифицированные вмешивающиеся факторы (см. онлайн Таблицу 2b Дополнительной информации), удаление молочного клыка в целом было связано с повышением шансов на прорезывание постоянного клыка (ОШ = 3,5; 95% ДИ = 1,4–8,9; p = 0,008). Интересно, что эффект от удаления молочного клыка существенно различался у пациентов с односторонней и двусторонней ретенцией клыков (ОШ 2,3 и 5,7 соответственно). Это может быть либо статистической артефактом, либо указывать на систематические различия между односторонними и двусторонними случаями.
Повторный анализ исследования Willems et al. представлен в онлайн Таблице 3 Дополнительной информации. При анализе всей выборки пациентов в возрасте 7,7–12,0 лет удаление молочного клыка не оказывало значимого эффекта ни на прорезывание постоянного клыка, ни на его положение/наклон. Однако удаление молочного клыка достоверно повышало шансы на прорезывание постоянного клыка у пациентов старше девяти или десяти лет, даже несмотря на то, что данные для этой конкретной подвыборки очень ограничены.
Мета-анализ всех пяти доступных исследований (Таблица 3) показал, что удаление молочного клыка связано с повышением шансов на прорезывание постоянного клыка (пять исследований; ОШ = 3,6; 95% ДИ = 2,2–6,2; p < 0,001; Рис. 4). Поскольку интервал прогнозирования полностью располагался в правой части лес-графика, можно ожидать, что это преимущество в шансах прорезывания постоянного клыка будет наблюдаться во всех случаях удаления молочного клыка. Однако необходимо отметить, что в двух более ранних испытаниях из Италии наблюдаются признаки несбалансированности групп на старте, что ставит под вопрос успешность процесса рандомизации (или вообще его применение). Кроме того, даже though данные Willems et al. были изменены и включали только пациентов в возрасте десяти лет и старше, в них также могли быть включены вестибулярно дистопированные клыки. Поэтому был проведен анализ чувствительности путем исключения двух испытаний из Италии и одного из Бельгии, который дал в основном схожие результаты (два испытания; ОШ = 3,3; 95% ДИ = 1,7–6,5; p < 0,001). В этом анализе удаление молочного клыка не было последовательно связано с улучшением наклона постоянного клыка по отношению к срединной линии (два испытания; РС = -2,83; p = 0,45). Данные отдельных исследований указывали на то, что удаление молочного клыка было связано с уменьшением расстояния от режущего бугра постоянного клыка до окклюзионной плоскости (РС: -1,1 мм) и повышением вероятности того, что постоянный клык в конечном итоге окажется в секторе 1 или 2 (ОШ = 3,6).
Доказательства относительно удаления молочного клыка и первого молочного моляра
Описательные характеристики трех включенных исследований представлены в Таблице 1. Два исследования из одной исследовательской группы были проведены в Италии³²,³³, а третье — в Норвегии³¹. Все они включали как односторонние, так и двусторонние случаи в возрасте 8,0–13,5 лет, что означает, что в них участвовали и пациенты только с риском ретенции. Два итальянских исследования включали как небно, так и центрально (вдоль альвеолярного гребня) дистопированные клыки, в то время как норвежское исследование включало только небно дистопированные клыки. Размеры выборок варьировались от 32 до 59 пациентов в исследовании (от 48 до 108 зубов) с периодом наблюдения 18 месяцев или до прорезывания клыка.
Мета-анализ (Таблица 3) показал, что комбинированное удаление молочного клыка и первого молочного моляра не было связано с повышением шансов на прорезывание постоянного клыка (три исследования; ОШ = 2,5; 95% ДИ = 0,4–15,6; p = 0,33; Рис. 5). С другой стороны, комбинированное удаление молочного клыка и первого моляра было связано с повышением вероятности улучшения положения постоянного клыка на один сектор на панорамном снимке (три исследования; ОШ = 2,0; 95% ДИ = 1,1–3,5; p = 0,01; Рис. 6) по сравнению с удалением только молочного клыка. Однако значительного улучшения на два сектора на панорамной рентгенограмме не наблюдалось (три исследования; ОШ = 4,31; 95% ДИ = 0,7–26,6; p = 0,12). Наконец, данные одного исследования³³ указали, что комбинированное удаление молочного клыка и первого моляра было связано с большим выпрямлением постоянного клыка (РС 7,2° и 8,7° для угла по отношению к срединной линии и латеральному резцу соответственно) и первого премоляра (РС 5,8° для угла к срединной линии) (см. Таблицу 4).
Как современные данные влияют на клиническое принятие решений?
Текущие данные позволяют предположить, что прорезывание НДВК после превентивного удаления молочного клыка непредсказуемо.
Из-за ограничений в дизайне как ретроспективных, так и проспективных исследований не хватает надежных данных о том, насколько эффективно это вмешательство на самом деле. Данные немногих доступных рандомизированных клинических испытаний указывают на потенциальную пользу превентивного удаления молочного клыка (самостоятельно или вместе с первым молочным моляром), но неопределенность сохраняется в отношении нескольких вопросов. Среди них, в частности, следующие: когда лучше всего проводить эти удаления, какие пациенты могут получить наибольшую пользу от этих удалений и при какой степени смещения вероятен наиболее благоприятный ответ. Также из текущих данных неясно, просто ли удаление молочного клыка ускоряет прорезывание НДВК.
Итак, как нам вести наших пациентов (Рис. 7)? Можно предположить, что если имеется резорбция корня молочного клыка и достаточное пространство в верхнечелюстной дуге, то риск минимален, и удаление этого зуба в попытке добиться самокоррекции НДВК потенциально почти ничем не грозит — при условии, что ребенок согласится на удаление под местной анестезией. Из литературы ясно, что для этого вмешательства, по-видимому, существует «окно». Возраст пациентов в исследованиях колеблется между 7,7 и 14 годами. Удаление молочного клыка после 14 лет, вероятно, будет безуспешным. И наоборот, лучшие результаты в плане нормализации положения НДВК наблюдаются у более молодых пациентов (10–11 лет). Успешному прорезыванию НДВК также будет препятствовать нехватка места в дуге из-за скученности. Эти моменты подчеркивают необходимость выбора подходящего времени для этого вмешательства, и при любых сомнениях пациенты в возрасте 10–12 лет должны быть направлены к врачу-ортодонту для оценки и рассмотрения дальнейших вариантов лечения.
Ключевым прогностическим фактором успешного исхода, по-видимому, является рентгенологическое горизонтальное положение коронки клыка по отношению к срединно-сагиттальной плоскости (см. Рис. 1). На основе расстояния до средней линии (будь то классификация по секторам или измерение в мм) клиницисты могут оценить, прорежется ли верхний клык нормально или потребует дальнейшего вмешательства (Таблица 2).
В итоге, чем ближе коронка клыка к средней линии (срединно-сагиттальной плоскости), тем менее вероятно, что он прорежется спонтанно после удаления молочного клыка (особенно те, что находятся beyond сектора три). Учитывая степень неопределенности, связанной с этим вмешательством, благоразумно будет информировать пациентов и их родителей о том, что прорезывание постоянного верхнего клыка следует контролировать в течение 12 месяцев после удаления молочного клыка. Для оценки успеха превентивного удаления молочных клыков был предложен период наблюдения 10–12 месяцев, поскольку большинство постоянных клыков, по-видимому, прорезываются без помощи в течение 12 месяцев после вмешательства (хотя некоторым для прорезывания без дальнейшего вмешательства может потребоваться до 22 месяцев или более). Также важно сохранять пространство в области удаления, особенно при более длительных периодах наблюдения, иначе оно может непрерывно уменьшаться. Если по истечении периода наблюдения клык не прорезался, то может потребоваться хирургическое обнажение и ортодонтическое перемещение клыка в рамках общего ведения аномалии прикуса.
Выводы
В данном обзоре освещена текущая доказательная база, касающаяся эффективности удаления молочного верхнего клыка для нормализации положения НДВК. Успех этого вмешательства непредсказуем, но благоприятный исход может быть достигнут, если лечение начато в возрасте 10–13 лет, у пациента наблюдается сменный прикус, в зубной дуге имеется место для постоянного клыка и, согласно рентгенологическим данным, коронка постоянного клыка не находится близко к срединно-сагиттальной плоскости/срединной линии.
Источники:
- Arriola-Guillén L E, Ruíz-Mora G A, Rodríguez-Cárdenas Y A, Aliaga-Del Castillo A, Boessio-Vizzotto M, Dias-Da Silveira H L. Influence of impacted maxillary canine orthodontic traction complexity on root resorption of incisors: a retrospective longitudinal study. Am J Orthod Dentofacial Orthop 2019; 155: 28-39.
- Cassina C, Papageorgiou S N, Eliades T. Open versus closed surgical exposure for permanent impacted canines: a systematic review and meta-analyses. Eur J Orthod 2018; 40: 1-10.
- Jacobs S G. Localization of the unerupted maxillary canine: how to and when to. Am J Orthod Dentofacial Orthop 1999; 115: 314-322.
- Ericson S, Kurol J. Longitudinal study and analysis of clinical supervision of maxillary canine eruption. Community Dent Oral Epidemiol 1986; 14: 172-176.
- Peck S, Peck L, Kataja M. The palatally displaced canine as a dental anomaly of genetic origin. Angle Orthod 1994; 64: 249-256.
- Papageorgiou S N, Seehra J, Cobourne M T, Kanavakis G. Does current evidence support the discussion around the guidance theory? A systematic review and meta-analysis on the association between maxillary lateral incisor agenesis and displacement or impaction of the permanent canine. Orthod Craniofac Res 2025; 28: 312-323.
- Pirinen S, Arte S, Apajalahti S. Palatal displacement of canine is genetic and related to congenital absence of teeth. J Dent Res 1996; 75: 1742-1746.
- Husain J, Burden D, McSherry P, Morris D, Allen M. National clinical guidelines for management of the palatally ectopic maxillary canine. Br Dent J 2012; 213: 171-176.
- British Orthodontic Society. Guidelines for the Use of Clinical Radiographs in Orthodontics. 2015. Available at https://bos.org.uk/wp-content/uploads/2022/03/Orthodontic-Radiographs-2016-2.pdf (accessed 1 September 2025).
- Ericson S, Kurol J. Early treatment of palatally erupting maxillary canines by extraction of the primary canines. Eur J Orthod 1988; 10: 283-295.
- Eslami E, Barkhordar H, Abramovitch K, Kim J, Masoud M I. Cone-beam computed tomography vs conventional radiography in visualization of maxillary impacted-canine localization: a systematic review of comparative studies. Am J Orthod Dentofacial Orthop 2017; 151: 248-258.
- Benson P E, Atwal A, Bazargani F, Parkin N, Thind B. Interventions for promoting the eruption of palatally displaced permanent canine teeth, without the need for surgical exposure, in children aged 9 to 14 years. Cochrane Database Syst Rev 2021; DOI: 10.1002/14651858.CD012851.pub2.
- Power S M, Short M B. An investigation into the response of palatally displaced canines to the removal of deciduous canines and an assessment of factors contributing to favourable eruption. Br J Orthod 1993; 20: 215-223.
- Leonardi M, Armi P, Franchi L, Baccetti T. Two interceptive approaches to palatally displaced canines: a prospective longitudinal study. Angle Orthod 2004; 74: 581-586.
- Baccetti T, Leonardi M, Armi P. A randomized clinical study of two interceptive approaches to palatally displaced canines. Eur J Orthod 2008; 30: 381-385.
- Parkin N, Furness S, Shah A et al. Extraction of primary (baby) teeth for unerupted palatally displaced permanent canine teeth in children. Cochrane Database Syst Rev 2012; DOI: 10.1002/14651858.CD004621.pub3.
- Bazargani F, Magnuson A, Lennartsson B. Effect of interceptive extraction of deciduous canine on palatally displaced maxillary canine: a prospective randomized controlled study. Angle Orthod 2014; 84: 3-10.
- Naoumova J, Kurol J, Kjellberg H. Extraction of the deciduous canine as an interceptive treatment in children with palatal displaced canines - part I: shall we extract the deciduous canine or not? Eur J Orthod 2015; 37: 209-218.
- Naoumova J, Kurol J, Kjellberg H. Extraction of the deciduous canine as an interceptive treatment in children with palatally displaced canines - part II: possible predictors of success and cut-off points for a spontaneous eruption. Eur J Orthod 2015; 37: 219-229.
- Al Wadiyah M, Athanasiou A E, Makrygiannakis M A, Kaklamanos E G. Does interceptive extraction of multiple primary teeth increase the chances of spontaneous eruption of permanent maxillary canines positioned palatally or centrally in the alveolar crest? A systematic review. Int Orthod 2022; 20: 100638.
- Alyammahi A S, Kaklamanos E G, Athanasiou A E. Effectiveness of extraction of primary canines for interceptive management of palatally displaced permanent canines: a systematic review and meta-analysis. Eur J Orthod 2018; 40: 149-156.
- Araujo V Z, Heckmann S, Araujo F B et al. Is there a better interceptive treatment for unerupted palatally displaced canines? A network meta-analysis. Braz Oral Res 2023; DOI: 10.1590/1807-3107bor-2022.vol36.0119.
- Elangovan B, Pottipalli Sathyanarayana H, Padmanabhan S. Effectiveness of various interceptive treatments on palatally displaced canine - a systematic review. Int Orthod J 2019; 17: 634-642.
- Habib A, Athanasiou A E, Makrygiannakis M A, Kaklamanos E G. Do the various interceptive treatment modalities improve the position of palatally displaced permanent canines? A meta-analysis. Eur J Orthod 2023; 45: 370-381.
- Baccetti T, Sigler L M, McNamara J A Jr. An RCT on treatment of palatally displaced canines with RME and/or a transpalatal arch. Eur J Orthod 2011; 33: 601-607.
- Willems G, Butaye C, Raes M, Zong C, Begnoni G, Cadenas de Llano-Pérula M. Early prevention of maxillary canine impaction: a randomized clinical trial. Eur J Orthod 2023; 45: 359-369.
- Naoumova J. Interceptive treatment of palatally displaced canines studies of treatment effect and patients' perception and methodological evaluation of 3D measurements of CBCT. Gothenburg: University of Gothenburg, 2014. Thesis.
- Naoumova J, Alfaro G E, Peck S. Space conditions, palatal vault height, and tooth size in patients with and without palatally displaced canines: a prospective cohort study. Angle Orthod 2018; 88: 726-732.
- Naoumova J, Kjellberg H, Kurol J, Mohlin B. Pain, discomfort, and use of analgesics following the extraction of primary canines in children with palatally displaced canines. Int J Paediatr Dent 2012; 22: 17-26.
- Hadler-Olsen S, Steinnes J, Nermo H, Sjogren A, Hadler-Olsen E. Pain, discomfort, and functional impairment after extraction of primary teeth in children with palatally displaced canines - a randomized control trial comparing extraction of the primary canine versus extraction of the primary canine and the primary first molar. Acta Odontol Scand 2023; 81: 158-163.
- Hadler-Olsen S, Sjögren A, Steinnes J et al. Double vs single primary tooth extraction in interceptive treatment of palatally displaced canines. Angle Orthod 2020; 90: 751-757.
- Alessandri Bonetti G, Zanarini M, Incerti Parenti S, Marini I, Gatto M R. Preventive treatment of ectopically erupting maxillary permanent canines by extraction of deciduous canines and first molars: a randomized clinical trial. Am J Orthod Dentofacial Orthop 2011; 139: 316-323.
- Alessandri Bonetti G, Incerti Parenti S, Zanarini M, Marini I. Double vs single primary teeth extraction approach as prevention of permanent maxillary canines ectopic eruption. Pediatr Dent 2010; 32: 407-412.
- Sudiskumar N, Cobourne M T, Pandis N, Seehra J. Accounting for clustering is still not routinely undertaken in orthodontic studies. Eur J Orthod 2023; 45: 45-50.
- Papageorgiou S N, Cobourne M T. Data sharing in orthodontic research. J Orthod 2018; 45: 1-3.
- Greenland S, Daniel R, Pearce N. Outcome modelling strategies in epidemiology: traditional methods and basic alternatives. Int J Epidemiol 2016; 45: 565-575.
- Alqerban A, Jacobs R, Fieuws S, Willems G. Radiographic predictors for maxillary canine impaction. Am J Orthod Dentofacial Orthop 2015; 147: 345-354.
- Papageorgiou S N. Meta-analysis for orthodontists: part I - how to choose effect measure and statistical model. J Orthod 2014; 41: 317-326.
- Langan D, Higgins J P T, Jackson D et al. A comparison of heterogeneity variance estimators in simulated random-effects meta-analyses. Res Synth Methods 2019; 10: 83-98.
- Ioannidis J P, Patsopoulos N A, Evangelou E. Uncertainty in heterogeneity estimates in meta-analyses. BMJ 2007; 335: 914-916.
- IntHout J, Ioannidis J P, Borm G F. Obtaining evidence by a single well-powered trial or several modestly powered trials. Stat Methods Med Res 2016; 25: 538-552.
- Papageorgiou S N. Meta-analysis for orthodontists: part II - is all that glitters gold? J Orthod 2014; 41: 327-336.
- Benson P E, Parkin N A. Early management of the palatally displaced maxillary permanent canine. In Cobourne M T (ed) Orthodontic Management of the Developing Dentition. pp 131-150. Cham: Springer, 2017.
- Naoumova J, Kjellberg H. The use of panoramic radiographs to decide when interceptive extraction is beneficial in children with palatally displaced canines based on a randomized clinical trial. Eur J Orthod 2018; 40: 565-574.
- Coulter J, Richardson A. Normal eruption of the maxillary canine quantified in three dimensions. Eur J Orthod 1997; 19: 171-183.
- Ericson S, Kurol J. Radiographic assessment of maxillary canine eruption in children with clinical signs of eruption disturbance. Eur J Orthod 1986; 8: 133-140.
- Lindauer S J, Rubenstein L K, Hang W M, Andersen W C, Isaacson R J. Canine impaction identified early with panoramic radiographs. J Am Dent Assoc 1992; 123: 91-97.
